ما هو سعر حشو كمبوزيت؟ في عالم طب الأسنان، يعتبر حشو كمبوزيت أحد التقنيات الحديثة والمتقدمة لمعالجة تسوس الأسنان. يستخدم هذا النوع من الحشوات لاستعادة الأسنان التي تعاني من تسوس أو تآكل في طبقة المينا الخارجية. تتميز الحشوات الكمبوزيتية بأنها توفر حلاً متينًا وجماليًا للأسنان المتضررة.
في هذه المقالة، سنتعرف على معلومات مهمة حول سعر حشو كمبوزيت وأهميته في طب الأسنان وسعر فينير الأسنان فى مصر
ما هو حشو كمبوزيت؟
- حشو الكمبوزيت هو مادة تستخدم في مجال طب الأسنان لمعالجة تجاويف الأسنان واستعادة هياكلها المتضررة. يتكون الكمبوزيت من مزيج من مواد مختلفة، مثل راتنجات البوليمر والجسيمات الزجاجية أو السيراميكية.
- يتم استخدام الحشو الكمبوزيت لترميم الأسنان المصابة بالتسوس أو التآكل، حيث يتم إزالة النسيج المتضرر من السن واستبداله بالمادة المركبة. يتم تطبيق الحشوة بطبقات تتم تصلبها بواسطة ضوء خاص يسمى ضوء البوليمرة. وبعد تصلب الحشوة، يتم تشكيلها وتلميعها لتناسب الأسنان المجاورة وتوفير المظهر الطبيعي.
- تتميز الحشوات الكمبوزيتية بعدة مزايا، فهي توفر مظهرًا طبيعيًا يتماشى مع لون الأسنان، وتحافظ على هياكل الأسنان بشكل أفضل من حشوات المعدن التقليدية. كما أنها تحتاج إلى إزالة أقل من المادة السنية لتركيبها، وتوفر تماسكًا أفضل مع الأسنان المحيطة.
- كما أن الحشوات الكمبوزيتية تتطلب مهارة ودقة عالية في تركيبها، وعادة ما يقوم بها أطباء الأسنان المختصون في طب الأسنان التجميلي أو الترميمي. قد يكون هناك بعض الحالات التي يفضل فيها استخدام مواد حشو أخرى بناءً على توصية الطبيب المعالج وحالة السن المراد علاجه.
دواعي استخدام حشو كمبوزيت الاسنان
ما هو سعر حشو كمبوزيت؟ تتعدد أنواع حشو الأسنان وأسعارها فنجد أن حشو الكمبوزيت هى مادة تستخدم لإصلاح التجاويف والتسوس في الأسنان. يتم تشكيل الحشوة من مزيج من الراتنج المركب والحبيبات الزجاجية، وهي متوفرة بمجموعة واسعة من الألوان لتتناسب مع لون الأسنان الطبيعي. تتمتع حشوات الكمبوزيت بالعديد من الدواعي للاستخدام، ومنها:
- تعتبر حشوات الكمبوزيت متينة وتحافظ على وظائفها لفترة طويلة. فهي تتمتع بمقاومة جيدة للتآكل والكسر، مما يجعلها تستخدم للحفاظ على تركيب الأسنان ومنع تفاقم التجاويف.
- تعتبر حشوات الكمبوزيت خيارًا شائعًا لأنها تتوفر بألوان متعددة وتتماشى بشكل جيد مع لون الأسنان الطبيعي. وبفضل تقنية التطبيق الدقيقة، يمكن للأطباء أن يشكلوا الحشوة بشكل يتناسب مع هيئة السن ويظهر كأنه جزء من الأسنان الأصلية.
- يتم استخدام الكمبوزيت في حشو التجاويف الصغيرة والمتوسطة، وهو يعتبر بديلاً جيدًا لحشوات الأمالغ الكبيرة من الأسنان التقليدية. يسمح استخدام الكمبوزيت بالحفاظ على أكبر قدر ممكن من الأنسجة السليمة في الأسنان، حيث يتم تثبيت الحشوة مباشرة في التجويف بواسطة الأشعة فوق البنفسجية.
- يعزل الكمبوزيت الحرارة بشكل جيد، مما يقلل من حساسية الأسنان للتغيرات في درجة الحرارة. هذا يجعلها خيارًا مناسبًا للمرضى الذين يعانون من حساسية الأسنان.
- يمكن تطبيق حشوات الكمبوزيت بسهولة في الأسنان، حيث يتم تشكيلها وتعديلها بدقة لتناسب التجاويف المراد معالجتها. بالإضافة إلى ذلك، يتم تصليح الكمبوزيت باستخدام تقنية التصليح اللاحتراقية، مما يقلل من حاجة إزالة الأنسجة السليمة ويحافظ على هيكلية الأسنان.
- تعتبر حشوات الكمبوزيت خيارًا آمنًا لاستخدامها في الأسنان. فهي تتوافق مع الأنسجة الفموية وتحد من خطر حدوث تفاعلات تحسسية أو تهيج للثة.

سعر حشو كمبوزيت
سعر حشو كمبوزيت يتأثر بعدة عوامل. هنا بعض العوامل التي تحدد سعر فينير الأسنان فى مصر:
- نوع المواد: هناك أنواع مختلفة من حشوات الكمبوزيت المتاحة، وتختلف تكلفتها اعتمادًا على جودة المواد المستخدمة والعلامة التجارية. حشوات الكمبوزيت ذات الجودة العالية قد تكون أغلى من تلك ذات الجودة المنخفضة.
- حجم الحشو: سعر حشو كمبوزيت يمكن أن يتأثر أيضًا بحجم الكمية المستخدمة. كمية أكبر من الحشو تعني تكلفة أعلى.
- المورد: الشركات المصنعة والموردين لحشوات الكمبوزيت قد يحددون أسعارهم بناءً على تكاليف الإنتاج والتكاليف العامة الأخرى.
- التكنولوجيا والابتكار: إذا كان هناك تطور تكنولوجي أو ابتكار في صناعة حشوات الكمبوزيت، فقد يؤثر ذلك على السعر. التقنيات الجديدة أو المواد المبتكرة قد تكون أكثر تكلفة في البداية.
- السوق والطلب: العرض والطلب على حشوات الكمبوزيت يؤثران أيضًا على الأسعار. إذا كانت الطلبات مرتفعة والعرض محدود، فقد يتم رفع الأسعار.
- تكاليف المعالجة: في بعض الأحيان، الحشوات الكمبوزيت تحتاج إلى عملية معالجة إضافية قبل استخدامها. هذه التكاليف الإضافية يمكن أن تؤثر على السعر النهائي.
هذه بعض العوامل الرئيسية التي تحدد سعر حشو كمبوزيت. قد تختلف التفاصيل والتكاليف بناءً على سوق البلد والظروف المحلية.
أفضل أنواع الكومبوزيت
كومبوزيت نانو-هايبريد:
- تمزج بين الكومبوزيت التقليدي وجزيئات نانو صغيرة، مما يؤدي إلى تحسين خواص التحمل والمتانة.
كومبوزيت المتسامحة للضغط:
- تتمتع بخواص تحمل الضغط العالي، مما يجعلها ملائمة للاستخدام في الأسنان الخلفية التي تتعرض لضغط أكبر أثناء عملية المضغ.
كومبوزيت الترويجي:
- تُستخدم لأغراض التجميل وتصحيح لون وشكل الأسنان، حيث تتميز بتأثيرها الجمالي العالي.
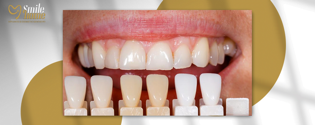
كومبوزيت فينير
كومبوزيت فينير الأسنان هو إجراء تجميلي لتحسين مظهر الأسنان. يُعرف أيضًا باسم “تجميل الأسنان بواسطة الفينير الراتنجي”، وهو يستخدم لتغطية الأسنان التالفة أو الملونة أو المشوهة بطبقة رقيقة من المواد المركبة. يتم استخدام الكومبوزيت، وهو نوع من المواد المركبة المتكونة من الراتنج البلاستيكي المقوى بجسيمات صغيرة، لإنشاء الفينير. يتم تطبيق الكومبوزيت بشكل مباشر على سطح السن، ثم يتم تشكيله وتحسينه للحصول على شكل ولون طبيعيين. يتم تثبيت الفينير النهائي على السن بواسطة مادة لاصقة قوية.
فيما يتميز كومبوزيت فينير الاسنان فى مصر
- تتميز الكومبوزيت فينير بعدة مزايا. فهي توفر حلاً سريعًا وموفرًا من حيث التكلفة لتحسين مظهر الأسنان. كما أنها تعطي نتائج فورية وتحافظ على طبيعية الأسنان. يمكن أيضًا إصلاح العيوب الصغيرة في الشكل والملمس باستخدام الكومبوزيت فينير.
- ومع ذلك، يجب مراعاة بعض النقاط عند استخدام الكومبوزيت فينير. فعلى الرغم من متانتها، إلا أنها أقل متانة من الفينير الخزفي، وقد تتأثر بالبقع والتلون على المدى الطويل. قد تحتاج الكومبوزيت فينير إلى إصلاح أو استبدال بعد فترة من الاستخدام.

اسعار كومبوزيت فينير الاسنان فى مصر
هناك العديد من العوامل التي تتوقف عليها سعر حشو كومبوزيت فينير الاسنان فى مصر ومن ضمن هذه العوامل ما يلي:
- المكان والعيادة: تختلف سعر حشو الكومبوزيت فينير حسب المدينة والمنطقة في مصر. العيادات في المدن الكبرى عادةً تفرض تكاليف أعلى من تلك في المناطق الأخرى.
- خبرة الطبيب: خبرة ومهارة الطبيب المعالج تلعب دورًا هامًا في تحديد الأسعار. طبيب الأسنان ذو السمعة الجيدة والخبرة العالية قد يفرض رسومًا أعلى بسبب مستوى الخدمة المقدمة.
- عدد الأسنان المطلوب تغييرها: إذا كان هناك عدد كبير من الأسنان التي تحتاج إلى تركيب كومبوزيت فينير، فقد يؤدي ذلك إلى زيادة في التكلفة الإجمالية للعلاج.
- جودة المواد المستخدمة: تتفاوت جودة المواد المستخدمة في تصنيع كومبوزيت فينير الأسنان. المواد ذات الجودة العالية والماركات المشهورة غالبًا ما تكون أغلى من تلك ذات الجودة المنخفضة.
- الخدمات المرتبطة: قد تكون هناك خدمات إضافية مرتبطة بتركيب كومبوزيت فينير الأسنان، مثل الفحوصات الأولية والتشخيصات اللازمة، وعمليات تجهيز الأسنان، وجلسات المتابعة. تلك الخدمات الإضافية يمكن أن تؤثر في التكلفة الإجمالية للعلاج.
من المهم أن تستشير طبيب الأسنان المعالج للحصول على تقدير مفصل لتحديد سعر حشو كومبوزيت فينير الأسنان في مصر.
في نهاية هذا المقال إذا كنت ترغب في التعرف على أفضل مركز لعلاج الاسنان في مصر وسعر حشو كمبوزيت لابد من الاتصال بنا، للتعرف على كل ما يخص سعر حشو كمبوزيت في مصر لذلك يمكنك القيام بذلك عن طريق مراسلتنا على WhatsApp او الاتصال بمركزنا مباشرة وإذا كنت ترغب في معرفة سعر حشو كمبوزيت لا تتردد في مراسلتنا للرد عليك بكافة التفاصيل قريباً.
الآسئلة شائعة
كم تدوم حشوة الأسنان الأمامية؟
عادةً، تدوم حشوة الأسنان الأمامية لفترة ت تراوح بين 5 إلى 7 سنوات. ومع ذلك، فإن مدة صلاحية الحشوة يمكن أن تختلف من شخص لآخر بناءً على عدة عوامل، مثل نوع المواد المستخدمة في الحشوة وطريقة تنظيف وعناية الشخص بأسنانه.
كم تدوم حشوة الكومبوزيت؟
يمكن أن تستمر حشوات الكومبوزيت لفترة تتراوح بين 5 إلى 10 سنوات، ولكن هذا يمكن أن يختلف من شخص لآخر.
هل حشو الكومبوزيت قوي؟
نعم، حشو الكومبوزيت هو مادة تستخدم في علاج تسوس الأسنان وتعتبر قوية بشكل عام. يتكون الكومبوزيت من مزيج من الراتنج والحشوة المعدنية، وهذا يعزز قوته ومتانته.
ما هي مادة الكومبوزيت للاسنان؟
الكومبوزيت هي مادة مركبة تتكون من مكونين رئيسيين هما المصدر الرئيسي للقوة والمصدر الرئيسي للصلابة. يتم دمج هاتين المادتين معًا لتشكيل مادة متعددة الطبقات تتمتع بخواص مميزة.
المكون الرئيسي للقوة في الكومبوزيت هو المصفوفة، وهي عادةً تكون مادة بوليمرية مثل الراتنج الايبوكسي أو الراتنج البوليستري أو الراتنج الفينولي. يتم استخدام المصفوفة لربط المكونات الأخرى معًا وتحمل القوى التي تتعرض لها المادة.






